Sections
Toggle navigation
Frances Harcourt-Brown
Home
Veterinary Information
Veterinary Information
Diet
Diet
Foraging for wild plants
From the greengrocer
Grow your own rabbit food
Plant toxicity
The problem with muesli mixes
Calcium and rabbit food
Are sugars and starches dangerous for rabbits?
Diet sheets
Infectious diseases
Infectious diseases
Myxomatosis
Rabbit haemorrhagic disease
Sudden or unexpected death
Sudden or unexpected death
Causes of rapid death
Post mortem examination
Contact
Skip to content.
|
Skip to navigation
Personal tools
Log in
Search
only in current section
Contents
Home
Veterinary Information
Contact
Home
Media
Images
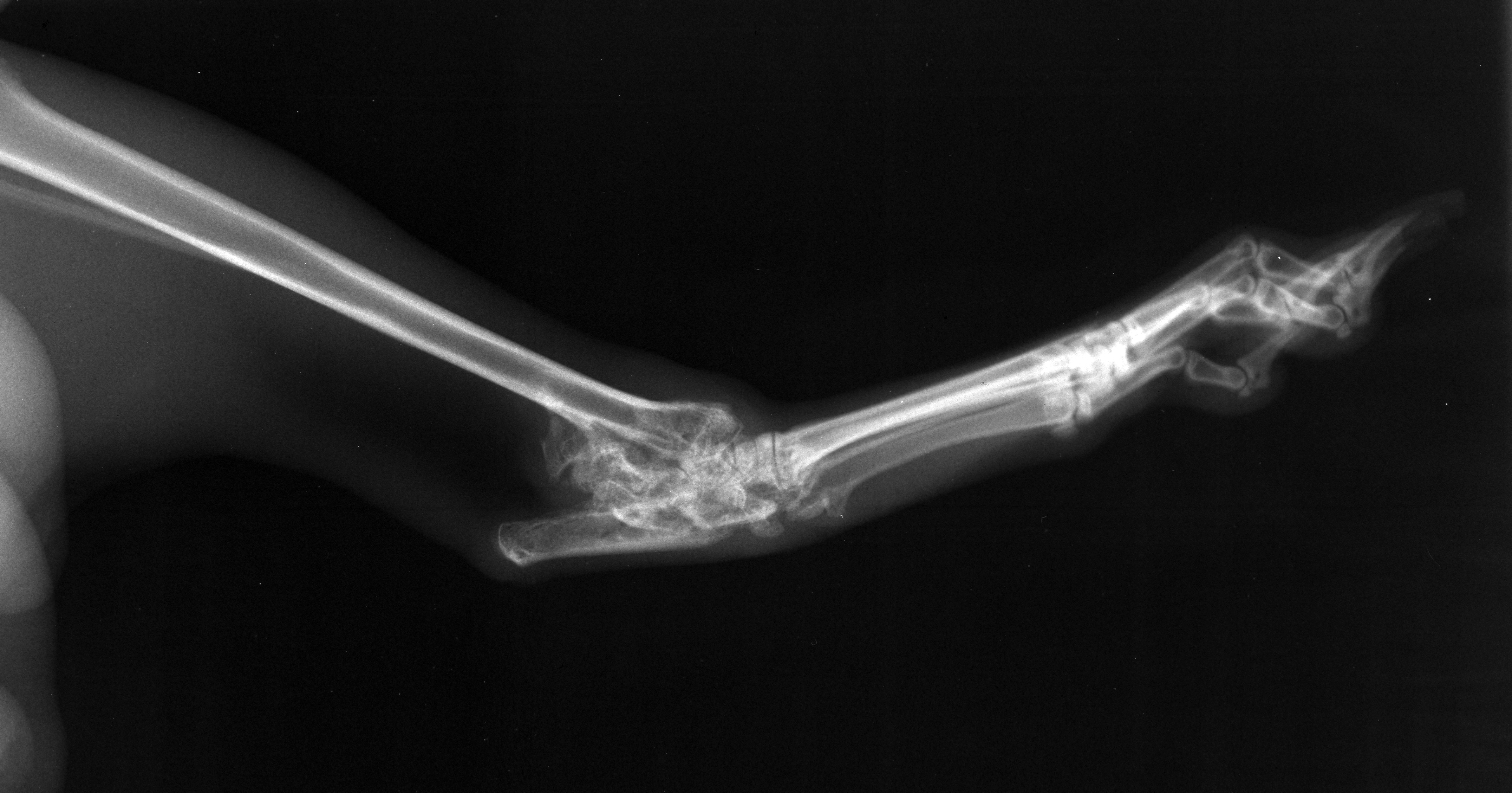
Orthopaedic
Jack with fractured leg
Jack lateral hock
Info
Jack lateral hock
Back
Click to view full-size image…
Size: 3954KB
Back
Filed under:
Case report
,
Orthopaedics
,
Jack
,
Radiograph